En la ultima década, los composites fluidos se han convertido en una herramienta imprescindible en el arsenal de cualquier odontólogo. Y es que lo que antes era un material auxiliar para pequeñas cavidades o bases de restauración, ahora es una opción restauradora de lo más popular gracias a la innovación en su formulación y a las mejoras en su manejo clínico.
Desde DVD Dental, tu proveedor líder en material odontológico, revisamos el papel actual de los composites fluidos en la práctica odontológica y te contamos todo lo que necesitas saber al respecto: sus ventajas frente a otros materiales, las precauciones que requieren y las últimas tendencias en odontología restauradora contemporánea.

¿Qué es un composite fluido?
Este material se distingue de los composites convencionales por su menor carga de relleno inorgánico y la incorporación de monómeros menos viscosos. Una combinación que otorga al material una consistencia más ligera y manejable, ideal para acceder a zonas de difícil alcance y adaptarse con precisión a las paredes cavitarias.
Si bien históricamente se les consideraba materiales de “apoyo” —más destinados a ser usados en combinación con composites convencionales—, la realidad actual es muy distinta. Los avances en la formulación han permitido que muchos composites fluidos alcancen propiedades mecánicas comparables a las de sus homólogos más densos, lo que abre la puerta a restauraciones completas en determinadas situaciones clínicas.
Propiedades técnicas: del relleno a la resistencia de los composites fluidos
La carga de relleno de estos composites suele oscilar entre el 37% y el 53%, una cifra inferior a la de los composites convencionales. Sin embargo, no todo se reduce a la cantidad: el tipo, tamaño y geometría de las partículas inorgánicas también condiciona el comportamiento clínico del material.

Un aspecto clave es la resistencia a la compresión, directamente relacionada con la durabilidad de la restauración. Aunque a mayor carga suele corresponder mayor resistencia, la investigación reciente muestra que la morfología del relleno y su integración en la matriz también influyen de manera decisiva, lo cual explica por qué algunos composites de esta variedad cuentan con un alto rendimiento clínico.
Evitar los vacíos: técnica y material de la mano
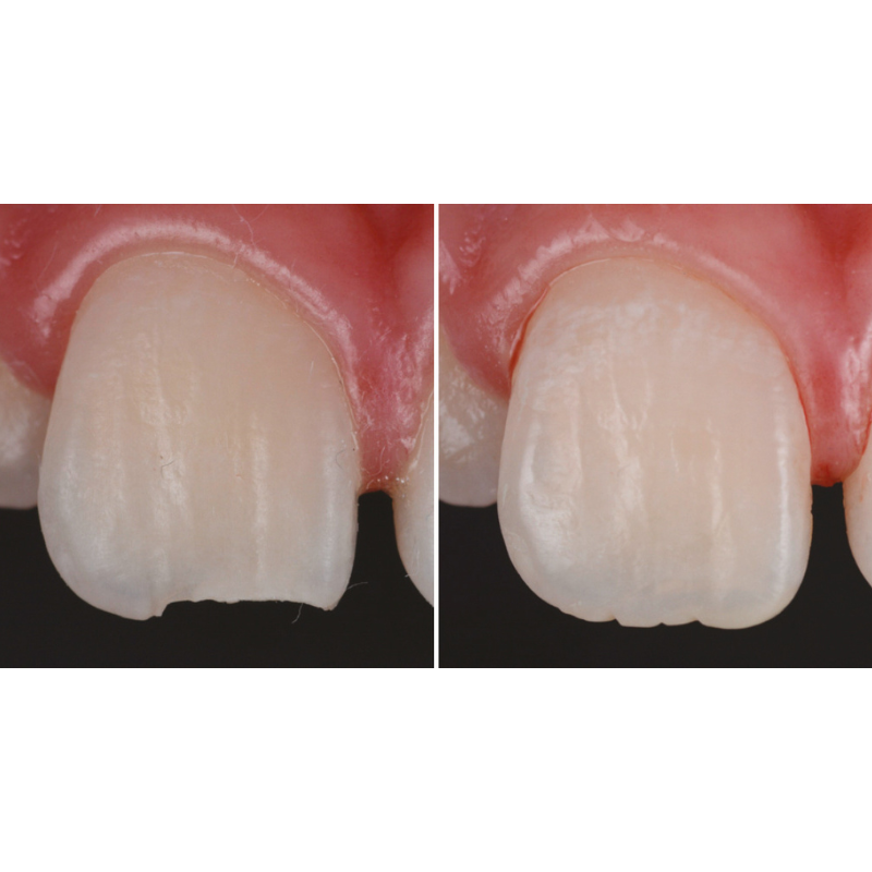
Uno de los retos más comentados en el uso de composites fluidos es la aparición de vacíos o burbujas de aire durante la aplicación. Defectos que, aunque invisibles a simple vista, pueden comprometer tanto la estética como la integridad mecánica de la restauración, y por supuesto su durabilidad.
Los vacíos se generan principalmente por errores en la técnica de aplicación: presión excesiva sobre la jeringa, mala orientación de la cánula o aplicación demasiado rápida. Y aunque los pequeños defectos no suelen tener consecuencias, los más grandes pueden convertirse en focos de fractura. Para minimizar este riesgo, los nuevos diseños de jeringas, que permiten liberar aire a través del émbolo y cánulas que facilitan una aplicación más controlada, suponen un gran avance.
Principales indicaciones clínicas de los composites fluidos
La versatilidad de este material se refleja en sus posibles usos, que van mucho más allá de su papel inicial como base y podemos encontrarlos aplicados en:
- Cavidades pequeñas y mínimamente invasivas, donde su fluidez permite una adaptación precisa sin necesidad de grandes desgastes.
- Restauraciones clase V, donde la estética y la facilidad de colocación son esenciales.
- Sellado de fisuras extendidas, como alternativa a resinas selladoras menos resistentes.
- Base en cavidades profundas, aprovechando su capacidad de adaptarse a irregularidades y proteger la pulpa.
- Pequeñas reparaciones o ajustes estéticos, donde su manejabilidad agiliza la intervención.

Uno de los ejemplos más destacados de esta nueva generación es Filtek™ Supreme Flowable Restorative, que incorpora una jeringa ergonómica rediseñada para eliminar casi por completo la formación de burbujas. Gracias a su sistema de émbolo ventilado, el aire no queda atrapado y el material se distribuye de forma uniforme.
Por todo ello, vemos cómo los composites fluidos han dejado de ser materiales secundarios para convertirse en protagonistas de muchas restauraciones. Desde DVD Dental, tu proveedor líder en material odontológico, te ofrecemos una cuidada selección de composites con la mejor relación calidad-precio. Llevamos a tu clínica dental materiales e instrumental de primer nivel para que tú solo tengas que encargarte de lo que mejor sabes hacer: ofrecer a tus pacientes ese servicio que marca la diferencia. Juntos, lo hacemos posible.
