En Odontología restauradora, la dificultad no siempre reside en la complejidad del caso. Muy a menudo, es precisamente en los procedimientos aparentemente sencillos donde se pone a prueba la precisión del odontólogo, su criterio estético y su capacidad para controlar cada detalle. La restauración de una pared lateral en forma de clavija es uno de esos escenarios: una intervención directa, conservadora, pero extremadamente exigente si se busca un resultado verdaderamente natural.
El presente caso clínico, resuelto por el Dr. Walter Devoto, ilustra con claridad cómo un enfoque meticuloso, apoyado en una técnica bien secuenciada y en un composite universal, nos lleva a lograr un resultado funcional y estético altamente predecible. Un ejemplo de Odontología conservadora bien ejecutada, donde cada paso tiene un propósito claro.
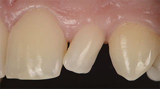
Situación inicial y planteamiento terapéutico

La situación clínica inicial muestra la ausencia de una pared lateral en el sector anterior, con una alteración evidente del contorno dental y del espacio interproximal. Más allá del impacto estético, esta pérdida impide la correcta relación con los dientes adyacentes y puede afectar tanto a la función como a la salud periodontal.
Desde el inicio, el objetivo es claro: reconstruir la anatomía perdida respetando al máximo el tejido sano. La filosofía que guía todo el procedimiento es mínimamente invasiva.
Preparación del sustrato: precisión antes que agresividad
Tras un aislamiento cuidadoso y la retracción gingival, el esmalte del diente se prepara de forma muy conservadora mediante una fresa de diamante fina, con lo que no se busca modificar la forma, sino optimizar la superficie para favorecer la adhesión.


Una vez finalizada la preparación, se procede al grabado con ácido fosfórico tanto del diente tratado como de las superficies proximales de los dientes adyacentes. Este paso crea la microretención necesaria para que la restauración se integre de forma estable en el conjunto dental.
Para la adhesión se aplica el adhesivo universal 3M™ Scotchbond™ Universal Plus sobre la preparación y los dientes cercanos, haciendo que la cobertura sea homogénea. Tras el secado y la fotopolimerización, el sustrato queda listo para recibir el composite en condiciones óptimas.

Reconstrucción anatómica: construir antes de rellenar
La restauración se realiza con composite universal 3M™ Filtek™ Easy Match, color Natural. Su comportamiento óptico permite trabajar sin necesidad de estratificaciones complejas, algo que hace posible que el odontólogo se pueda concentrar como necesita en la forma y en el control de los volúmenes.

El primer paso consiste en definir los límites del espacio restaurador. Se modela el contorno distal del incisivo central y la cara mesial del canino, estableciendo así una referencia anatómica clara.
A continuación, se coloca un incremento de composite en la cara bucal del diente lateral, con lo que se crea un andamio anatómico que sirve de soporte para los contornos mesial y distal. Con esto conseguimos un control preciso del volumen y evitamos excesos innecesarios.

Puntos de contacto: el detalle que marca la diferencia

Una vez establecido el soporte bucal, el siguiente reto es la creación de los puntos de contacto. Mediante una matriz seccional, se reconstruye la pared distal del lateral y se define el contacto con el canino. Este paso es crítico: de él dependen la estabilidad de la restauración, la correcta higiene interproximal y la salud periodontal a largo plazo.
El mismo procedimiento se repite para la cara mesial del lateral, con lo que aseguramos un punto de contacto adecuado con el incisivo central. Centramos la atención en la continuidad de las líneas de transición y en la correcta integración con los dientes adyacentes.

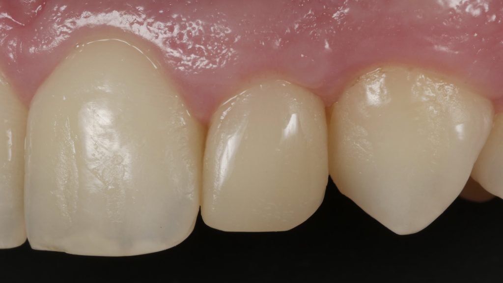
Acabado y pulido: devolverle al diente su identidad

Con los contornos generales definidos y los puntos de contacto correctamente establecidos, la restauración está ya en su fase final. El acabado y el pulido hacen posible que refinemos las superficies, ajustemos los volúmenes y reproduzcamos así la textura del esmalte natural.
Antes del pulido, evaluamos cuidadosamente la anatomía, la simetría y la integración cromática.
El aspecto final, tras el pulido y la curación gingival, es una restauración armónica, con un contorno natural y una relación equilibrada con los tejidos blandos.

Este caso clínico de restauración lateral simple en forma de clavija llevado a cabo por el Dr. Devoto demuestra, por tanto, que la excelencia no siempre reside en procedimientos complejos, sino que, muy a menudo, se encuentra en la capacidad de ejecutar técnicas fundamentales con resultados de excelencia. Y en DVD Dental, tu proveedor líder en material odontológico, trabajamos cada día para ofrecerte el mejor material e instrumental del mercado y hacer posible que sigas llevando tu práctica clínica al siguiente nivel.
